Notigape

Sobrevive seis años con sobre de catsup en el intestino

Por: Staff NotiGape
03/01/2018 10:27
Sobrevive seis años con sobre de catsup en el intestino

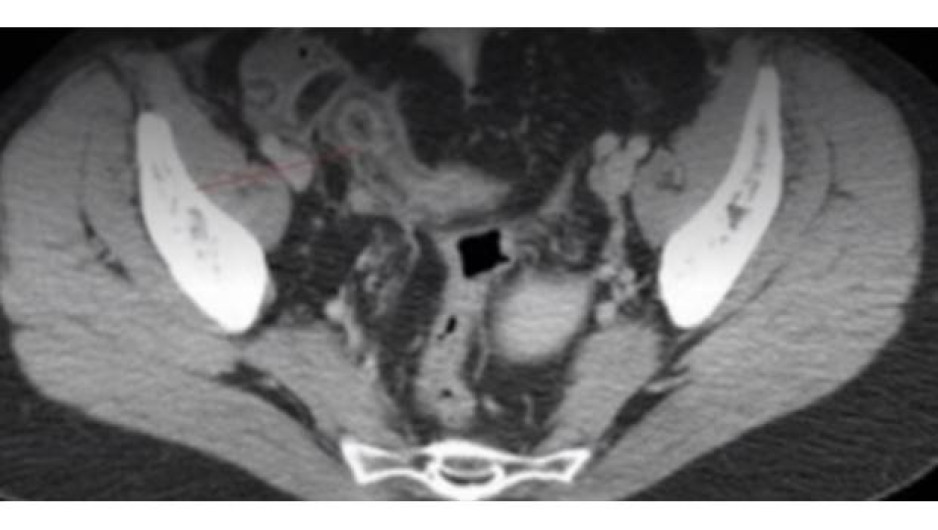
La Revista Británica de Medicina dio a conocer el caso de una mujer de 41 años de edad, a la que se le diagnostico con la enfermedad de Crohn, sin embargo con el paso del tiempo y tratamientos, se determinó que contaba con un objeto extraño alojado en su intestino.

Tras no responder el cuerpo de la mujer a los diversos tratamientos para la enfermedad de Chron, se encontraron pedazos de un paquete de catsup en su intestino. 

El sobre habría causado heridas en el estomago de la mujer, causando síntomas similares a los de la enfermedad de Chron

Notas Relacionadas

UANE