Alberca se congela por ola de frío en Florida
La ola de frío que desde hace días están afectando el norte de Florida no sólo ha dejado bajas temperaturas, nevadas históricas y 'lluvias' de iguanas congeladas, sino que también ha congelado albercas.
La ola de frío que desde hace días están afectando el norte de Florida no sólo ha dejado bajas temperaturas, nevadas históricas y 'lluvias' de iguanas congeladas, sino que también ha congelado albercas.
Si eres de los que piensan que los koalas son animales frágiles, para muerta de lo contrario, tan solo basta ver el siguiente video en el que se muestra una pelea de dos animales de esta especie.
Usuarios de redes sociales dieron a conocer el caso de un perro que se acostó en las sillas de espera del Seguro Social de Monterrey, Nuevo León, a la espera de su dueño.
El boom de la canción “Movimiento Naranja” cada vez llega más lejos, y para muestra de ello, lo que muchos pedían en redes sociales se hizo realidad este viernes… la canción ¡llegó a Spotify!
El primero de enero, a las 00.47 horas nació en Viena la primer bebé del año, de nombre “Asel”.
Las bajas temperaturas que han azotado el estado suroriental de Florida en Estados Unidos han dejado como consecuencia la muerte de algunos reptiles, principalmente iguanas, que caen de los árboles debido a su congelamiento.
Apple informó que sus dispositivos son vulnerables al igual que en los microchips que han sido instalados en los ordenadores.
Aries
Si bien es cierto que la Tierra y la luna se encuentran una distancia considerable entre uno y otro, una fotografía publicada por la NASA muestra desde el espacio muestra como se podría ver desde el espacio la distancia entre los cuerpos celestes.
Después de la difusión de un video en donde unas enfermeras se divierten con las caras de unos bebés, en un hospital de Arabia Saudita, estas fueron despedidas, ya que dicho video provocó indignación mundial.
Un hombre le tocó los pechos de una mujer que paseaba en topless durante el festival de música Rythm & Vines en Nueva Zelanda y ésta enseguida reaccionó, pues fue y le dio una lección al chico.
Tras perder a su abuela, la joven Sakyrah Angelique decidió llevar a su familiar consigo por siempre con un tatuaje que representa una onda de sonido de voz, con una grabación de su abuela y que es posible reproducir desde su Smartphone.
Una mujer de Chicago recibió un disparo en el brazo, esto mientras hacía una transmisión en Facebook Live.
Un pequeño resultó ileso después de que cuatro tiburones lo asechaban a las orillas de una playa en las Bahamas, esto después de que un hombre lo alertara.
Un primero de enero de 1849, nació en Tequila, Jalisco, Manuel Caballero, periodista y literato.
Aries
Una mujer hispana, residente del estado de California dio a luz a un par de bebés; un niño y una niña que aunque son gemelos, nacieron en distinto año.
Al punto de las 21:23 horas de este miércoles se podrá apreciar en el cielo nocturno la primera lluvia de estrellas Cuadrántidas, que podrá verse en todas las zonas occidentales de América del Norte y las islas del Pacifico.
Una joven de 19 años estudiante argentina de Derecho de nombre Nahir Galarza, fue la responsable de asesinar a su ex novio Fernando Pastorizzo, posteriormente publicó en su cuenta de Instagram un mensaje de amor para este.
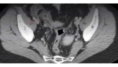
La Revista Británica de Medicina dio a conocer el caso de una mujer de 41 años de edad, a la que se le diagnostico con la enfermedad de Crohn, sin embargo con el paso del tiempo y tratamientos, se determinó que contaba con un objeto extraño alojado en su intestino.
La Tierra se encuentra en su mayor proximidad al Sol en su órbita anual, es decir, que se sitúa en el perihelio, lo que produce la máxima velocidad orbital, acelerando 3 mil 420 kilómetros por hora sobre el promedio.
Una pareja se casó el pasado 22 de diciembre, 18 horas después, la novia murió, víctima del cáncer.
El famoso y popular “youtuber” Logan Paul, publicó en su cuenta de You Tube un video grabado en el bosque japonés de Aokigahara, también conocido como “el bosque de los suicidios”, el cual recibió muy fuertes críticas.
Aries